6287 Taylorsville Rd Building #2, Fisherville, KY 40023
Do Dental Bridges Change Speech or Chewing? What to Expect Early On


Do Dental Bridges Change Speech or Chewing? What to Expect Early On
If you’ve recently received a dental bridge or are planning to, you might wonder whether it will change your speech or chewing. The short answer: yes, a small adjustment period is normal, but it’s temporary. Most people speak and eat comfortably again within days or a few weeks. In this blog, you’ll learn what changes to expect early on, how to adapt faster, and simple ways to make your bridge feel natural sooner.
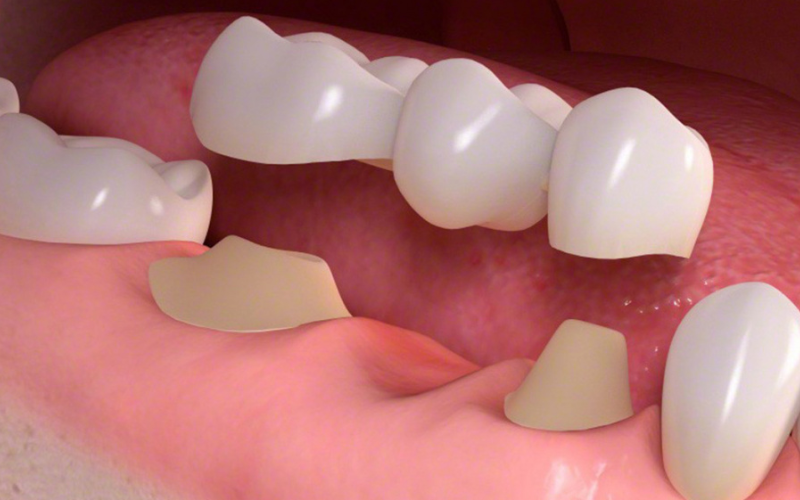
Understanding How a Dental Bridge Works
A bridge replaces one or more missing teeth by anchoring onto healthy adjacent teeth or implants. It fills the gap, restores alignment, and evenly distributes bite pressure again. When teeth are missing, surrounding teeth shift, chewing force becomes unbalanced, and speech sounds may change without you noticing. A bridge restores structure, and with it, natural function.
Early Adjustment Phase
During the first days or weeks, you may notice slight changes in how your tongue touches the bridge or how your bite feels. This happens because the mouth has muscle memory; it learns patterns based on your natural teeth. Once the new restoration settles in, speech and chewing typically return to normal. Patients looking for dental bridges in Fisherville, KY often ask how long this phase lasts, and in most cases, improvements in speaking and eating begin gradually with daily use.
Will It Affect Speech?
Some sounds require precise tongue movement. Letters like S, TH, and F may feel different initially. Most patients adapt quickly with regular speaking, reading aloud, and gentle practice.
If you’re preparing for dental bridges in Fisherville, KY, knowing what to expect helps you feel more confident about your transition. Most changes in pronunciation are temporary and improve as your tongue becomes familiar with the bridge’s shape. Practicing speech daily can accelerate adaptation, and many patients notice improvement within 1 to 2 weeks.
Chewing and Eating With a New Bridge
Chewing efficiency gradually improves once the bridge becomes part of your bite pattern. At first, stick to softer foods, think scrambled eggs, pasta, bananas, cooked vegetables, yogurt, and soft meats, then introduce firmer textures slowly. Avoid biting directly into very hard or sticky foods during early healing.
What helps during the first few weeks:
- Chew on both sides, not just one.
- Take smaller bites until comfort increases.
- Avoid caramel, nuts, hard candy, and tough bread temporarily.
- Rinse after meals to remove trapped food.
Within a short adjustment window, everyday chewing feels more natural. Bridges are designed to handle everyday meals once fully stabilized.
Why Speech or Chewing Feels Different at First
Mouth sensations come from balance. When a tooth is missing, the tongue and cheek adapt to that new space. Once a bridge fills, the brain must relearn the previous pattern. A bridge also slightly changes airflow, which may affect pronunciation until the tongue adapts.
You may experience:
- Slight lisps
- Extra saliva
- Mild pressure around supporting teeth
- Awareness of the bridge’s texture
These are typical and improve with use. The ADA states that dental restorations, including bridges, are functional replacements designed to support natural oral movement. With daily talking and eating, tissues learn, and comfort improves.
Tips for a Smooth Adjustment
Daily habits help your mouth adapt more quickly:
- Read aloud for 10–15 minutes a day.
- Practice challenging words to retrain tongue placement.
- Eat soft foods at first, and gradually increase firmness.
- Maintain proper oral hygiene around the bridge.
- Schedule follow-ups if discomfort persists.
Floss threaders or interdental brushes are beneficial around bridge edges to remove plaque and reduce gum irritation.
How Long Does Adaptation Take?
For most people, speech normalizes within days to weeks. Chewing comfort continues to improve as bite patterns stabilize. If something still feels off after a reasonable adjustment period, a dentist can check bite alignment and make minor refinements.
Early communication is essential. If you feel persistent soreness, looseness, or ongoing difficulty chewing, contact a dentist to ensure proper stability.
A Healthy, Comfortable Smile Starts With The Right Guidance
Your bridge should function like a natural part of your mouth — supporting speech, eating, and confidence daily. If you’re considering a restoration or adjusting to a new one, the proper care makes the process smooth and comfortable. For personalized support and professional dental bridge treatment, contact Elite Family Dental.
Book a Visit Today
Restore comfort, improve function, and enjoy a confident smile again. Contact Elite Family Dental to schedule a consultation and learn more about dental bridges in Fisherville, KY, replacement options, and long-term care.
FAQs
1. How long does it take to speak normally with a dental bridge?
Most patients notice improvement within 1–2 weeks as the tongue learns its new position. Practicing speech, reading aloud, and repeating tricky sounds can help you adapt faster.
2. Can I eat normally after getting a dental bridge?
Yes, but gradually. Start with soft foods for a few days, then slowly reintroduce firmer textures. Chewing evenly on both sides helps the bridge feel natural sooner.
3. Does a bridge feel bulky at first?
Some patients feel mild fullness or a slight change in bite during the first days. This sensation fades as your mouth adjusts and the bridge becomes part of your routine.
4. How do I clean around a dental bridge properly?
Brush twice daily and use floss threaders or interdental brushes to clean under the bridge where food can collect. Keeping the area plaque-free supports gum health and longevity.
5. Do dental bridges affect taste?
Taste usually remains unchanged because bridges do not cover the palate. If you notice a slight difference initially, it is temporary and resolves as your mouth adapts.
6. How long does a dental bridge last?
With good brushing, flossing, and routine dental checkups, a bridge can last many years. Habits like avoiding very hard or sticky foods also help extend its durability.
7. What if speech changes or discomfort don’t improve?
If changes continue after a few weeks, schedule a dental evaluation. Adjustments to bite or bridge shape can restore comfort and improve speech in most cases.



